Vhodný výber kameňa pre dlažbu v administratívnych budovách
Prírodný kameň zvyšuje atraktivitu a jedinečnosť moderného architektonického dizajnu v interiéri a exteriéri budov. Pri nevhodnom výbere dlažby z prírodného kameňa na použitie vo verejných priestoroch, ktoré sú charakteristické zvýšeným prevádzkovým zaťažením, sa v relatívne krátkom čase začnú prejavovať zmeny pôvodného vzhľadu a ďalšie poruchy.
Developerské spoločnosti investujú v slovenských mestách do lukratívnych stavebných lokalít s vybudovanou infraštruktúrou nevyhnutnou na výstavbu moderných obchodných galérií, kancelárskych a rezidenčných komplexov. Najmä v Bratislave sa v ostatnom období postavili viaceré vysokonákladové objekty, napríklad budova Národnej banky Slovenska, polyfunkčný komplex Tri veže, zábavno-obchodné centrá Aupark, Shopping Palace, Polus City Center, Danubia, Eurovea a rezidenčný komplex River Park. Spoločným menovateľom týchto objektov je nadčasový architektonický dizajn. Architektom sa ho podarilo dosiahnuť aj vďaka použitiu prírodného kameňa.Stavebné výrobky z prírodného kameňa sú vo verejných priestoroch často vystavované záťažovým účinkom. Ak vlastnosti zvoleného výrobku v závislosti od účelu použitia nezodpovedajú prevádzkovým nárokom, môže pôsobením týchto záťažových účinkov dochádzať k farebným a tvarovým zmenám, čo znehodnocuje kvalitu a cenu výrobku. Správny výber prírodného kameňa vyplýva z poznania jeho minerálneho zloženia, vnútornej stavby a fyzikálno-mechanických vlastností.
Posúdenie nevhodne zvoleného prírodného kameňa použitého na dlažbu v bankovej inštitúcii
Predmetom posúdenia sa stala výrazne mechanicky porušená vápencová dlažba v extrémne zaťažených priestoroch v bratislavskej bankovej inštitúcii. Na identifikácii deštrukčných procesov spojených so stratou pevnosti spolupracovala Prírodovedecká fakulta UK s Technickým a skúšobným ústavom stavebným.
Postup posudzovania mechanicky porušenej vápencovej dlažby
Základným predpokladom hodnotenia miery poškodenia prírodného kameňa je odber vzoriek z jednotlivých častí dlažby. Pri odbere vzoriek vápencovej dlažby v bankovej inštitúcii sa muselo postupovať tak, aby sa nenarušila funkčnosť a estetický vzhľad interiérových priestorov a átria. Vizuálnej obhliadke poškodených častí kamennej dlažby predchádzalo oboznámenie sa s technickou dokumentáciou a získanie informácií od dodávateľa výrobku o vlastnostiach a obchodnom označení vápencov (deklarované vo vyhlásení o zhode).
Na komplexné hodnotenie vápenca použitého na výrobu dlažby boli potrebné doplňujúce informácie o geologickej stavbe zdrojovej oblasti vápencov. Tie možno spolu s ukážkami farebného a textúrneho sortimentu leštených vzoriek získať na internetových stránkach kamenárskych firiem. Poškodené časti dlažby boli odfotografované spolu s mierkou, ktorá presne dokumentovala mieru mechanického porušenia vápencovej dlažby vrátane variabilného zastúpenia farebných a textúrnych znakov.
Odobraté vzorky vápencov boli technicky spracované. Na mikroskopické pozorovanie spojené s celkovým petrografickým opisom podľa STN EN 12407 sa zhotovilo sedem výbrusov.
Z átria objektu sa odobrala dlažbová doska, na ktorej sa posudzovali normalizované parametre fyzikálnych a technických vlastností: objemová hmotnosť a celková pórovitosť (STN EN 1936), nasiakavosť (STN EN 13755), pevnosť v tlaku (STN EN 1926), mrazuvzdornosť (STN EN 12371) a odolnosť proti obrusovaniu (STN EN 14157).
Obr. 1 Postup posudzovania prírodných kameňov poškodenej dlažby
Komplexná identifikácia prírodného kameňa (obr. 1) potrebná na zostavenie optimálneho riešenia výmeny poškodenej dlažby, spočíva v prepojení opisu štruktúrno-textúrnych parametrov a minerálneho zloženia s hodnotením jeho vlastností. Vlastnosti prírodného kameňa sú pozitívne aj negatívne ovplyvňované geologickými procesmi súvisiacimi s jeho vznikom a následným formovaním v čase. Vznik kameňa a jeho prírodné pretváranie priamo ovplyvňuje intenzitu pôsobenia mechanických účinkov na tvorbu deštrukčných procesov kamenárskych výrobkov. Pri slabej intenzite deštrukčných procesov sa spravidla pristupuje k aplikáciám konzervačných prostriedkov. V prípade zvýšenej miery deštrukcie, ktorá je spojená s tvorbou puklín, je už potrebná výmena kamennej dlažby. Pri výmene je dôležitý správny výber alternatívneho prírodného kameňa s kvalitatívne vyhovujúcimi technickými parametrami. Dôraz sa kladie aj na architektonicko-kompozičné hľadisko stavebného objektu.
–>–>
Terminológia portugalských vápencov
Sortiment portugalských vápencov tvorí šesť základných druhov, ktoré sa exportujú pod obchodnými názvami Moca Cream, Azul Valverde, Moleanos, Semi Rijo, Rosal a Fatima. Pre každý druh sa používajú aj alternatívne názvy, čím nastáva terminologický chaos, ktorý sa dá objasniť konfrontáciou názvov z dostupných internetových katalógov s deklarovanými obchodnými názvami uvedenými vo vyhlásení zhody výrobku a s názvoslovím európskych prírodných kameňov podľa STN EN 12440 (tab. 1). Portugalské vápence sú makroskopicky nehomogénne (rozdielna zrnitosť a sfarbenie, zastúpenie skamenelín, množstvo prímesí), čo vyvoláva komplikácie spojené s jednoznačnou identifikáciou komerčných druhov. Vznikajúce zámeny v sortimente si vyžadujú porovnávanie získaných vzoriek s priamym odberom vápencov zo zdrojových oblastí.
Vápence sa ťažia prevažne v strednej časti Portugalska, asi 100 až 150 kilometrov severne od Lisabonu v oblasti národného parku Serra D´Aires e Candeeiros, ktorý spadá do územných celkov Santarém a Leiria (tab. 1). Z geologického hľadiska sú vápence zaradené do obdobia strednej jury (súčasť druhohôr).
Tab. 1 Prehľad komerčných názvov portugalských vápencov
Charakteristika pozorovanej vápencovej dlažby
V jednotlivých dlaždiciach je homogénny vzhľad narušený prítomnosťou farebne diferencovaných žltohnedých odtieňov, striedaním zrnitosti a druhového zastúpenia úlomkov skamenelín. Na jednotlivých poschodiach budovy sú vzájomne skombinované jemnozrnné dlaždice s hrubozrnnými (obr. 2), čo vyvoláva heterogénny, škvrnitý vzhľad vydláždených priestorov a pôsobí rušivým estetickým dojmom. Lokálne prítomné trhliny a pukliny v dlažbe boli spôsobené mechanicky (obr. 3). Odobraté vzorky boli na čerstvých plochách drobivé.
Obr. 2 Detaily vzoriek vápencovej dlažby
Obr. 3 Ukážky porušenia vápencovej dlažby
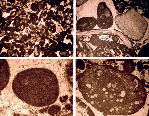
Obr. 4 Mikroskopický charakter štruktúry a základných zložiek vápencov
Na pozorovanie odobratých vzoriek sa použil polarizačný mikroskop. Cieľom bolo identifikovať rozdiely vo vnútornej stavbe, ktoré majú významný vplyv na vlastnosti a trvanlivosť dlažby z hľadiska jej prevádzkového zaťaženia. Pozorované vzorky na základe mikroskopického pozorovania možno charakterizovať ako vápence obsahujúce zrná anorganického a organického pôvodu (schránky organizmov) spolu s úlomkami ďalších vápencov, ktoré sú prevažne tmelené sekundárnym kalcitovým cementom. Mikroskopicky prevládali výrazné tvarové a veľkostné odlišnosti jednotlivých horninových zložiek, ktoré boli pozorované v každej vzorke (obr. 4). Vo všetkých vzorkách z hľadiska minerálneho zloženia prevládal kalcit.
Z detailného mikroskopického pozorovania vyplynulo, že vápence mali oslabené štruktúrne väzby v dôsledku prítomnosti kalcitového cementu v základnej hmote. Pevné kryštalické štruktúrne väzby sú typické pre vápence obsahujúce primárnu zložku spojiva, ktorá sa vo vzorkách nevyskytovala.
Fyzikálne a technické vlastnosti
Fyzikálne a technické vlastnosti sa posudzovali na skúšobných telesách zhotovených z vápencovej dlažobnej dosky (hrúbka 30 mm). Výsledné hodnoty posudzovaných fyzikálnych a technických vlastností sú uvedené v tab. 2, kde sa zároveň nachádzajú aj technické údaje o vápencoch, ktoré zverejnil Národný inžiniersky, technologický a inovačný inštitút Portugalska, a požiadavky slovenských technických noriem.
Hodnoty fyzikálnych a technických vlastností zverejnené Národným inžinierskym, technologickým a inovačným inštitútom Portugalska a hodnoty zistené z odobratých vzoriek poškodenej dlažby v laboratóriách Technického a skúšobného ústavu stavebného v Novom Meste nad Váhom a Prírodovedeckej fakulty UK v Bratislave sa výrazne odlišujú. Laboratórne skúšky boli vykonané v súlade s platnými európskymi normami. Na základe výsledkov možno konštatovať, že prírodný kameň, z ktorého bola dlažba vyrobená, nevyhovuje kritériám ustanoveným v STN 72 1800 pre sedimentárne karbonátové horniny a zároveň ani požiadavkám v STN 72 1820 na dlažobné dosky určené do exponovaných a neexponovaných priestorov. Z toho vyplýva, že portugalské vápence sú vhodné len ako obkladový prírodný kameň do interiérov.
Záver
Fenomén nevhodných aplikácií lacnejších výrobkov z prírodných kameňov sa v súčasnom architektonicko-stavebnom procese výstavby spoločensko-administratívnych objektov stáva ekonomickou hrozbou, ktorej následky pocítia ich majitelia v časovom horizonte závislom od miery prevádzkového zaťaženia. Problém s dlažbou danej bankovej inštitúcie sa objavil približne po dvoch rokoch od skolaudovania objektu. V exponovaných podlahových častiach vápencovej dlažby sa postupne začali prejavovať zmeny vzhľadu zvýrazňované stratou lesku, následným zdrsňovaním povrchu spolu s vymieľaním drobných častíc až po tvorbu a rozširovanie puklín, čím dlažba stratila estetickú hodnotu a prestala plniť svoju funkciu. Na tvorbu deštrukčných zmien vápencovej dlažby má dominantný vplyv vnútorná rôznorodosť veľkosti a usporiadania základných stavebných zložiek horniny, ktoré negatívne ovplyvňujú kvalitu technických parametrov pri zvýšenom prevádzkovom zaťažení.
Nedostatočná informovanosť o fyzikálnych a technických vlastnostiach, ako aj o minerálnom zložení prírodných kameňov vedie k neočakávanému zvýšeniu ekonomických nákladov spojených s prevádzkou objektov. Preto sa odporúča, aby investori, stavebníci a zhotovovatelia nadviazali užšiu spoluprácu so špecialistami z oblasti geologických vied.
TEXT: RNDr. Peter Ružička, PhD., RNDr. Tatiana Durmeková, PhD., Ing. Jarmila Nováčiková
FOTO: autori
RNDr. Peter Ružička, PhD., pracuje na Katedre mineralógie a petrológie Prírodovedeckej fakulty UK v Bratislave.
RNDr. Tatiana Durmeková, PhD., pracuje na Katedre inžinierskej geológie Prírodovedeckej fakulty UK v Bratislave.
Ing. Jarmila Nováčiková, PhD., pracuje v Technickom a skúšobnom ústave stavebnom v Novom Meste nad Váhom.
Realizácia výskumnej úlohy tvorí súčasť riešenia projektov LPP-0109-09 a VEGA 1/0413/09.
Literatúra
1. STN 72 1800: 1987: Prírodný stavebný kameň pre kamenárske výrobky. Technické požiadavky.
2. STN 72 1820: 1990: Obkladové a dlažobné dosky z prírodného stavebného kameňa.
3. STN EN 1926: 2007: Skúšky prírodného kameňa. Stanovenie jednoosovej pevnosti v tlaku.
4. STN EN 1936: 2007: Skúšky prírodného kameňa. Stanovenie mernej a objemovej hmotnosti a celkovej a otvorenej pórovitosti.
5. STN EN 12371: 2003: Skúšky prírodného kameňa. Stanovenie mrazuvzdornosti.
6. STN EN 12407: 2007: Skúšky prírodného kameňa. Petrografický opis.
7. STN EN 12440: 2008: Prírodný kameň. Kritériá na označovanie.
8. STN EN 13755: 2008: Skúšky prírodného kameňa. Stanovenie nasiakavosti pri atmosférickom tlaku.
9. STN EN 14157: 2004: Skúšky prírodného kameňa. Stanovenie odolnosti proti obrusu.
10. www.rosal-limestone.com, www.semirijo.com, www.mocacream.com, www.moleanos.com, www.fatimalimestone.com, www.azulvalverde.com, www.portugalimestones.com
Článok bol uverejnený v časopise Stavebné materiály.













